ΙΝΟΜΥΩΜΑΤΑΤι είναι τα ινομυώματα;Τα ινομυώματα της μήτρας αποτελούν την πιο συχνή ανωμαλία της μήτρας της γυναίκας (συχνότητα: 20-40%). Απαρτίζονται από διογκωμένες λείες μυικές ίνες και ινώδη συνδετικό ιστό. Είναι καλοήθεις όγκοι (δεν προκαλούν καρκίνο) και απασχολούν συνήθως γυναίκες 22-55 ετών. Το μέγεθος τους κυμαίνεται από λίγα χιλιοστά μέχρι πολλά εκατοστά.
Αίτια δημιουργίας
Τα αίτια που προκαλούν τα ινομυώματα είναι η κληρονομικότητα σε συνδυασμό με τα αυξημένα επίπεδα ορμονών (οιστρογόνων) στο αίμα της γυναίκας. Έχει αποδειχτεί ότι η δημιουργία τους ελέγχεται από γονίδια που κληρονομήθηκαν στην κάθε γυναίκα. Το ποσοστό εμφάνισης της νόσου είναι διπλάσιο στις έγχρωμες γυναίκες σε σχέση με τις λευκές. Τα ινομυώματα παρουσιάζουν αυξημένη συχνότητα στις παχύσαρκες γυναίκες.
Εντόπιση
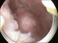
Ανάλογα με τη θέση τους στη μήτρα, τα ινομυώματα διακρίνονται σε υπορρογόνια, υποβλεννογόνια, ενδοτοιχωματικά και ενδοσυνδεσμικα. Είναι πολύ σημαντικό να γνωρίζει ο ιατρός την ακριβή θέση ενός ινομυώματος, γιατί η αντιμετώπιση του είναι διαφορετική και τα συμπτώματα που προκαλεί είναι επίσης διαφορετικά.
εντοπίζονται κάτω από το ενδομήτριο, μέσα στην κοιλότητα της μήτρας. Σπανίως μπορεί να αυξηθούν τόσο σε μέγεθος ώστε να αποκτήσουν μίσχο και να προβάλλουν από το τραχηλικό στόμιο προς τον κόλπο (τεχθέντα ινομυώματα).
Τι συμπτώματα δημιουργούν τα ινομυώματα;Τα ινομυώματα είναι δυνατόν να μην έχουν κανένα σύμπτωμα, κυρίως όταν είναι μικρά. Συνήθως ανακαλύπτονται σε τυχαία γυναικολογική εξέταση ή σε υπερηχογραφικό έλεγχο. Σε κάποιες όμως περιπτώσεις μπορεί να δημιουργούν σημαντικά συμπτώματα όπως:
Διάγνωση των ινομυωμάτων
Θεραπεία
Συντηρητική: Α) Απλή υπερηχογραφική παρακολούθηση ανά εξάμηνο ή χρόνο. Εφαρμόζεται για ινομυώματα μικρού μεγέθους (<4εκ), ασυμπτωματικά και με μικρό ρυθμό αύξησης. Επίσης, σε γυναίκες κοντά στην κλιμακτήριο όπου αναμένουμε ακόμη και τα μεγαλύτερα ινομυώματα να συρρικνωθούν λόγω πτώσης του επιπέδου των οιστρογόνων.
Β) Φαρμακευτική αγωγή (GnRH ανάλογα). Πρόκειται για ενέσιμες ορμόνες και γίνονται μία φορά το μήνα ή κάθε τρεις μήνες. Ο τρόπος που δρουν είναι να σταματούν την περίοδο και έτσι να προκαλούν τεχνητή εμμηνόπαυση και συρρίκνωση του ινομυώματος.
Χειρουργική : Τα ινομυώματα που είναι απαραίτητο να αφαιρεθούν είναι τα υποβλεννογόνια, που αναπτύσσονται μέσα στην κοιλότητα της μήτρας και προκαλούν σοβαρή παραμόρφωση της κοιλότητας. Επιπλέον πρέπει να αφαιρούνται και τα μεγάλα ενδοτοιχωματικά (μεγαλύτερα από 4-5 εκ.), τα οποία είναι συνήθως συμπτωματικά και επιδρούν στην υπογονιμότητα. Αντίθετα, τα υπορρογόνια ή μισχωτά ινομυώματα φαίνεται ότι δεν παίζουν ρόλο στη γονιμότητα ή την εγκυμοσύνη. Χρειάζεται να αφαιρεθούν μόνο όταν έχει αυξηθεί πολύ το μέγεθος τους και προκαλούν πιεστικά φαινόμενα.
Β) Λαπαροσκόπηση/Ρομποτική
Η λαπαροσκόπηση αποτελεί μια σύγχρονη μέθοδος ελάχιστης παρέμβασης στο σώμα της ασθενούς. Το χειρουργείο γίνεται από 3-4 πολύ μικρές οπές στην κοιλιά, με τη χρήση κάμερας και πολύ λεπτών εργαλείων. Το ινομύωμα αφαιρείται, όσο μεγάλο και να είναι, από μία μικρή οπή του 1cm που υπάρχει ήδη στην κοιλιά, με ειδικό εργαλείο. Έτσι το αισθητικό αποτέλεσμα είναι άριστο αφού οι μικρές οπές συρράπτονται με την τεχνική της πλαστικής χειρουργικής. Επίσης, η ασθενής δεν βιώνει τον πόνο της τομής, εξέρχεται από το νοσοκομείο την επόμενη μέρα και επιστρέφει στις καθημερινές της δραστηριότητες εντός λίγων ημερών.
Η ρομποτική χειρουργική αποτελεί την εξέλιξη της λαπαροσκοπικής χειρουργικής και σήμερα την πιο σύγχρονη μέθοδο αφαίρεσης ινομυωμάτων, αν και πιο ακριβή. Ο γυναικολόγος χειρουργεί με τη βοήθεια ενός ρομποτικού συστήματος το οποίο δεν έχει καμία αυτονομία. Ο χειρουργός κάθεται σε μία χειρουργική κονσόλα και οι κινήσεις του μεταδίδονται μέσω του ρομποτικού συστήματος, με απόλυτη ακρίβεια, στα εργαλεία που έχει από πριν τοποθετήσει ο ίδιος, στην κοιλιά της ασθενούς.
Γ) Λαπαροτομία (ανοιχτή μέθοδος): Εφαρμόζεται σε περιπτώσεις πολύ μεγάλων ενδοτοιχωματικών ή υπορρογονίων ινομυωμάτων, που δεν είναι εφικτό να αντιμετωπιστούν λαπαροσκοπικά.
Συμπερασματικά λοιπόν, ενώ πολλά από τα ινομυώματα δε χρειάζονται θεραπεία, ωστόσο είναι μερικά που πρέπει να αφαιρούνται λόγω θέσης, όγκου και συμπτωμάτων. Αν γίνει ωστόσο μια περιττή επέμβαση, η γυναίκα κινδυνεύει να αναπτύξει συμφύσεις και να δημιουργηθεί πρόβλημα στις σάλπιγγες. Επίσης, πολύ πιθανόν να χρειαστεί καισαρική τομή στον τοκετό. Χρειάζεται λοιπόν μεγάλη κλινική εμπειρία και σωστή κλινική κρίση από τη μεριά του ιατρού. Η απόφαση για χειρουργείο εξαρτάται και από άλλους παράγοντες: την ηλικία της γυναίκας, το ιστορικό της (και το ιστορικό αποβολών), τα συμπτώματα (π.χ. πόνος) κλπ.
Η ιατρός Κ.Παπακωνσταντίνου αντιμετωπίζει με εξατομικευμένο τρόπο την κάθε γυναίκα, βασισμένη στα κύρια συμπτώματα της, επιλέγοντας ανάμεσα στη συντηρητική αντιμετώπιση/παρακολούθηση, φαρμακευτική αγωγή και τέλος χειρουργική θεραπεία. Έχει μεγάλη εμπειρία τόσο στην ανοιχτή χειρουργική, όσο και στην υστεροσκόπιση και λαπαροσκόπιση. Όταν δε απαιτηθεί να εφαρμοστούν πιο εξειδικευμένες μέθοδοι αντιμετώπισης συνεργάζεται με μια άρτια εκπαιδευμένη ομάδα συναδέλφων ιατρών με γνώμονα πάντα το καλύτερο για την ασθενή.
|




